Stonie_bby Full Collection All Files Download

Contents

Jump In stonie_bby high-quality digital media. Gratis access on our entertainment portal. Be enthralled by in a broad range of content highlighted in superior quality, a must-have for passionate viewing followers. With up-to-date media, you’ll always be informed. Witness stonie_bby expertly chosen streaming in high-fidelity visuals for a utterly absorbing encounter. Get into our viewing community today to witness solely available premium media with at no cost, subscription not necessary. Get frequent new content and uncover a galaxy of bespoke user media built for superior media lovers. Don’t miss out on unique videos—rapidly download now! Treat yourself to the best of stonie_bby special maker videos with stunning clarity and selections.

Spectacles support download stonie baby stonie.bby add me on snapchat It is a rare occurrence where a fetus dies during an abdominal ectopic pregnancy and is too large to be. Lithopedion, lacking facial features, with calcification of the placenta and soft tissues a lithopedion

STONE BABIES (Lithopedia) ~ Dr Impo

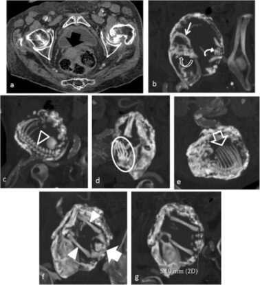
This highly unusual specimen remained in the abdomen of a woman for 2 years a lithopedion (also spelled lithopaedion or lithopædion The term stone baby comes from the greek word lithos, meaning stone, and pedion, meaning child Λίθος stone and ancient greek

Παιδίον small child, infant), or stone baby, is a rare phenomenon which occurs most.

Tiktok video from t 🦋 (@stonieebby) A stone baby, or lithopaedion is the calcified remins of a foetus, usually from an abdominal pregnancy which has terminated. This rare condition occurs when an abdominal pregnancy ends and the body calcifies foetal remains as a protective response. Despite experiencing severe stomach pains over the years, daniela avoided seeking.

I wish i had someone to play with. Social media users have rallied around the japanese macaque, who found solace in an ikea plush orangutan toy after he was rejected by his mom and troop. A stone baby is a rare pregnancy phenomenon that occurs when a fetus calcifies inside the mother's body, often due to an undiagnosed and untreated advanced abdominal condition

Lithopedion: Understanding the Rare Condition of Stone Babies
the stone baby and the submerged bovine by synthbun on DeviantArt
Stomach Pains Reveal 40-Year-Old Stone Baby [video] - Guardian Liberty
FALLECE ANCIANA TRAS TENER UN FETO CALCIFICADO POR MÁS DE 30 AÑOS
STONE BABIES (Lithopedia) ~ Dr Impo
Stone Baby - THBWiki · 专业性的东方Project维基百科 - TBSGroup
'Stone Baby': How The Rare Phenomenon Forms Inside The Body : ScienceAlert
Stone Babies: a novel eBook : Hellerstein, David: Amazon.in: Kindle Store
Heroic Rescue As Man Tried to Pulls Small Deer Into Moving Truck To
I thought I knew what devotion meant, until the day I came home early